15 + Lung Images After Covid High Quality Images. These images were provided by doctors in China. A bioengineer and a health worker monitor a patient on whom an emergency ventilator is being tested at the Intensive Care Unit (ICU) for non COVID patients of the San Vicente Fundacion Hospital in Medellin.
21 + Lung Images After Covid HD Resolutions
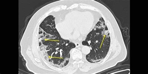
An X-ray of the patient's lungs before the transplant, showing severe damage.
Lung Transplant on COVID-19 Patient Is a First for the US
ARA News: X-ray, CT uncover novel coronavirus-infected ...
‘Is he going to need new lungs?’ Doctors detail first case ...
Shocking images reveal how the lungs of two Wuhan ...
Coco Austin’s dad has everlasting lung harm after COVID-19 ...
Gross lung pathology and expression of SARS CoV antigens ...
What they don’t tell you about surviving COVID-19 – A ...
Chinese doctors release lung scans of woman with ...
WATCH: Lungs of smokers vs non-smokers; this viral video ...
Coronavirus: What X-rays and CT scans reveal about how ...
First US docs to analyze coronavirus patients’ lungs say ...
Chicago woman gets double lung transplant after ...
Follow-up chest radiographic findings in patients with ...
Jair Bolsonaro, Brazil's president, says lungs 'clean ...
A Beautiful Lung X-Ray! | trumpetlungs
15 + Lung Images After Covid High Quality ImagesBoth lungs appearing white and opaque (versus black) on chest X-rays (called bilateral lung opacities on chest imaging). Here's what coronavirus can do to your lungs in mild-to-moderate, severe, and critical cases. Keith Mortman, the chief of thoracic surgery The hospital typically uses the CT imaging technology that produced the video for cancer screenings and to plan surgeries.

