15 + Covid 19 Ct Lung Images High Quality Images. The George Washington University Hospital Chief. Purpose: To develop a deep learning (DL).
21 + Covid 19 Ct Lung Images Desktop Wallpaper
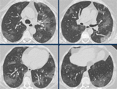
CT scans have become the "first line of defense" in diagnosing suspected infections, especially given the current shortage of testing.
The Radiology Assistant : COVID-19
This is what lungs infected with COVID-19 look like - Science
The Radiology Assistant : COVID-19
File:COVID19CT1.webp - Wikipedia
Ultrasound can be used for patients with COVID-19
How does COVID-19 differ from other coronaviruses?
Coronavirus: X-rays reveal how COVID-19 infection destroys ...
New Research Highlights Blood Clot Dangers of COVID-19 ...
Transplantation of ACE2- Mesenchymal Stem Cells Improves ...
Chest Imaging Guidance for Pediatric COVID-19 Patients ...
How Does COVID-19 Appear in the Lungs? | Imaging ...



